

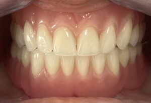
Tecnologie avanzate
Utilizziamo materiali all’avanguardia e tecniche moderne per assicurare stabilità e durata delle protesi realizzate.
Consulenze protesiche
Manutenzione periodica






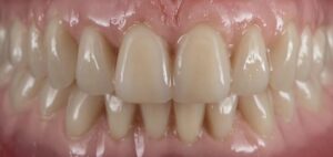
Utilizziamo materiali all’avanguardia e tecniche moderne per assicurare stabilità e durata delle protesi realizzate.



